Paciente de 37 años con traumatismo contundente y ruptura del globo ocular. Presenta ruptura esclero-uveal, hifema, hemovítreo, desgarro periférico y temporal de la retina, hemorragias subretinianas y múltiples desprendimientos serosos.
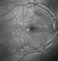
MAVC: 20/25 OD, nueve años después de las cirugías (sutura escleral de la desinserción del músculo recto externo, vitrectomía posterior y fotocoagulación láser en el borde del desgarro retiniano, desprendimiento de retina inferior con proliferación vitreorretiniana y líquido subretiniano con algo de sangre; peeling de la membrana epirretiniana y maculorrexis de la MLI).

Centro Cirúrgico De Coimbra
Rua Dr. Manuel Campos Pinheiro, 51
Espadaneira - S. Martinho do Bispo
3045-089 Coimbra, Portugal
Coordenadas: 40°12'35.5"N 8°27'59.7"W
Tel.: +351 239 802 700
(Chamada para rede fixa nacional)
Email: centrocirurgico@ccci.pt / atlasrleye@ccci.pt
Web: www.ccci.pt
Informações Legais
INTERCIR – Centro Cirúrgico de Coimbra, S.A.
NIPC 503 834 971 | Registo ERS E106499
Entidade prestadora de cuidados de saúde registada na Entidade Reguladora da Saúde (ERS), com o n.º E106499
Licenças de funcionamento: UPS n.º 3/2010 (aditamento à Licença UPS 07/02.00) e Licença n.º 9072/2015.
Informações Legais
Centro Cirúrgico de Coimbra Medical Technology® (CCCI®) é uma marca registada, objeto do pedido de registo de marca nacional n.º 758986, concedido pelo Instituto Nacional da Propriedade Industrial (INPI). Todos os direitos reservados.